NOSSOS EXAMES

O nosso laboratório oferece importantes exames para o diagnóstico, prevenção e tratamento de doenças, sendo os mesmos realizados por profissionais com experiência adquirida em centros de referência nacionais e internacionais. Confira abaixo os exames que oferecemos. Em caso de dúvidas, não hesite em nos contatar, teremos prazer em atendê-lo.

Clique aqui para acessar o Manual de Coleta de Materiais (MT01) disponibilizado aos serviços parceiros que enviam material ao laboratório LZ Patologia.

Clique aqui para acessar o Termo de Informação de Envio do Material ao LZ disponibilizado aos serviços parceiros que enviam material ao laboratório LZ Patologia.

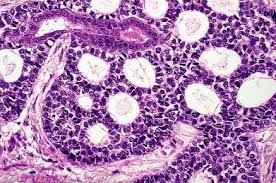
EXAME ANÁTOMO-PATOLÓGICO
Procedimento médico necessário para o diagnóstico de doenças e/ou para estabelecer o estadiamento de tumores, a partir dos estudos de macroscopia, microscopia de amostras de tecidos e órgãos retirados de pacientes.
EXAME ANÁTOMO-PATOLÓGICO
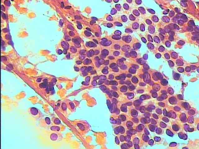
EXAME CITOPATOLÓGICO
EXAME CITOPATOLÓGICO
Procedimento médico que pode detectar alterações da morfologia celular para o diagnóstico (definitivo ou presuntivo) ou prevenção de doenças a partir do estudo ao microscópio de esfregaços celulares, líquidos corpóreos ou de amostras colhidas por escovados, raspados, imprints ou punções aspirativas.
EXAME IMUNO-HISTOQUÍMICO
É realizado para complementar o exame anatomopatológico ou citopatológico. Sua realização está prevista em casos como a determinação de biomarcadores para carcinoma mamário, linfomas, GIST e outras neoplasias ou como complementação do exame anatomopatológico, na necessidade de estabelecer diagnósticos diferenciais.
Dentre os exames que realizamos podemos destacar paineis imuno-histoquímicos para a determinação de sítios primários de neoplasias metastáticas, para estabelecer o prognóstico de neoplasias mamárias, bem como para a determinação da instabilidade de microssatélites (MMR), dentre outros.
EXAME IMUNO-HISTOQUÍMICO
EXAME TRANSOPERATÓRIO POR CONGELAÇÃO
EXAME TRANSOPERATÓRIO POR CONGELAÇÃO
Exame realizado durante a cirurgia onde o patologista examina uma amostra tecidual obtida pelo cirurgião, e de acordo com o diagnóstico o cirurgião ajusta ou modifica, a conduta intra-operatória de modo a favorecer o paciente.
PUNÇÃO ASPIRATIVA POR AGULHA FINA GUIADA POR ULTRASSONOGRAFIA
Exame que permite a amostragem de células de nódulos ou lesões em órgãos superficiais como pele, tireoide, mama, glândula parótida, nódulos da região cervical, entre outros).
PUNÇÃO ASPIRATIVA  POR AGULHA FINA  GUIADA POR  ULTRASSONOGRAFIA
O LZ PATOLOGIA É ACREDITADO PLENO PELA ORGANIZAÇÃO NACIONAL DE ACREDITAÇÃO (ONA).
O LZ PATOLOGIA É ACREDITADO PLENO PELA ORGANIZAÇÃO NACIONAL DE ACREDITAÇÃO (ONA).
Responsável pelo desenvolvimento e gestão dos padrões brasileiros de qualidade e segurança em saúde. Além de referência nacional, os padrões ONA são reconhecidos no exterior por ser membro da International Society for Quality in Health Care (ISQua), atuando ao lado de instituições que promovem a qualidade da saúde em países como Estados Unidos, Reino Unido, França e Canadá.

ONDE ESTAMOS


SEDE PORTO ALEGRE
Avenida Nilópolis, 145
Bairro Petrópolis, Porto Alegre, RS
CEP 90460-050
(51) 3333.9393 / (51) 3333.1323
(51) 997333301 / (51) 997333302

SEDE NOVA PRATA
Avenida Cônego Peres, 690 - Conj 306
Bairro Centro, Nova Prata, RS
CEP 95320-000
(54) 3242.7288

SEDE XANGRI-LÁ
Hospital LifePlus Litoral Norte
Rua Elias João de Medeiros, 2001 - Sala 305
Bairro Santorini, Xangri-lá, RS
CEP 95588-000 
(51) 998428121























        








Redes de Proteção em Jundiai Redes de Proteção em Jundiai Comprar seguidores no Instagram